ZenoDental.it > Lavorazioni odontotecniche >
Protesi combinata
Protesi fisse su impianti
Protesi fisse galvano ceramica
Protesi fissa metallo ceramica
Protesi fissa metallo ceramica con passivazioni in galvano
Protesi metal free zirconio e ceramica
Protesi metal free E.MAX
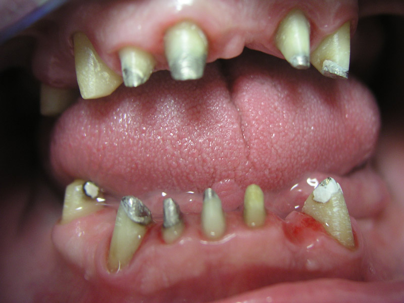
Protesi combinata
Passivazione galvano
Impianti passivazione galvano
Prevede una parte fissa, non rimovibile dal cliente, ed una parte mobile più o meno dotata di mobilità.
Zeno Dental S.a.s. di Gianni Zito & C. - P. IVA 06542720724
Tel/Fax 080-4951612 - Via Monopoli, 19 - 70014 Conversano (BA)